Impact of the use of high-power 810-nm diode laser as monotherapy on the clinical and tomographic success of the treatment of teeth with periapical lesions: an observational clinical study
Article information
Abstract
Objectives
The aim of this study was to demonstrate the impact of a high-power 810-nm diode laser as monotherapy on the clinical and tomographic success of treating teeth with periapical lesions, through a series of 31 cases.
Methods
Teeth with apical lesions underwent endodontic treatment in which a high-power 810-nm diode laser with saline solution was used as monotherapy for disinfection. This type of therapy aimed to replace the traditional irrigation protocol with sodium hypochlorite. This research is the first to assess the clinical success of this alternative treatment, along with tomographic evaluations conducted over periods ranging from 2 to 7 years, analyzed using the periapical index based on cone-beam computed tomography (CBCTPAI). All cases were performed by a single clinician following the same laser protocol, which involved using 1 W of continuous power and four cycles of 20 seconds of laser activation.
Results
All teeth showed no clinical symptoms upon follow-up examination. However, the tomographic evaluation revealed that the success rates for teeth receiving primary treatment were 60% and 80% according to strict and loose criteria, respectively. For teeth requiring retreatment, the success rates were 12.5% and 37.5% using strict and loose criteria, respectively.
Conclusions
The teeth with apical lesions that underwent primary treatment did not present clinical symptoms, but they showed a moderate success rate on tomographic evaluation. However, despite lacking clinical symptoms, teeth with apical lesions that required retreatment had a very low success rate on tomographic evaluation.
INTRODUCTION
Pulpal and apical issues are closely linked to various factors, with bacteria being the predominant factor [1]. Bacteria play a pivotal role in the failure of root canal treatments, affecting both primary and persistent infections [2]. The bacterial microbiota comprises both positive and negative bacteria that infect the root canal lumen, ramifications, and dentinal tubules [3]. Presently, the primary objective in endodontics is the thorough cleaning and disinfection of the root canal, aiming to eliminate a substantial microbial burden and smear layer [4]. Standard protocols involve mechanically preparing the root canal, irrigating with substances such as sodium hypochlorite (NaOCl), chlorhexidine, and ethylenediaminetetraacetic acid (EDTA), and activating the irrigant [5–9].
The literature indicates certain limitations associated with these irrigants, such as chlorine, which exhibits intradentinal penetration of only 130 µm, whereas certain bacteria like Enterococcus faecalis and Streptococcus mutans can penetrate up to 1,000 µm or more [10,11]. Additionally, the extravasation of these chemical substances can lead to damage in periapical tissues also some studies show that the adverse effects are linked to the breakdown of the collagen matrix within mineralized dentin, the hypochlorite anion can penetrate the mineralized collagen, damaging the collagen fibrils. This results in a mineral-dense but collagen-deficient ghost mineral matrix, which has diminished flexural strength [12–14]. Emerging alternatives in the market include high-power lasers that can complement disinfection by utilizing various power levels and wavelengths, generating photothermal and photoacoustic effects [15–17]. Diode lasers are currently in use for routine procedures in endodontics, serving in disinfection processes, and with specific wavelengths and power levels, they can induce microbial death [18,19]. Studies suggest that high-power diode lasers can also function as monotherapy procedures in endodontics, implying that disinfection can be achieved solely through laser therapy [20].
Various case reports, clinical studies, and in vitro investigations have highlighted the effectiveness of the 810-nm diode laser as an optimal wavelength for both superficial and deep dentin disinfection [16,20,21]. However, there is currently a lack of extensive clinical evidence in the literature regarding the clinical and tomographic success of diode laser monotherapy. Therefore, this series presents 31 clinical cases demonstrating long-term clinical success with follow-up controls using cone-beam tomography, assessed with the periapical index based on cone-beam computed tomography (CBCTPAI) [22]. The cases in this study underwent treatment solely utilizing a high-power 810-nm diode laser for disinfection.
METHODS
All treatments described in this article were performed after obtaining written informed consent from the patient and conducted in compliance with research ethics.
Twenty-three Hispanic patients, with an average age of 53 years (range, 16–80 years), presented a total of 31 teeth. Among the inclusion criteria were all teeth that had higher lesion apical, incisive, canines, premolar, and molar with type I, II, and IV. The systematic condition and pulp and periapical diagnosis of the teeth are presented in Table 1. Among them were 15 female and eight male patients seeking treatment due to spontaneous pain, swelling, or low-intensity discomfort during chewing upon clinical evaluation. All patients exhibited signs and symptoms of both primary and secondary infections during clinical assessment, with radiographs confirming apical periodontitis in all teeth. Clinically, the teeth were sensitive to percussion and palpation, and all responded negatively to cold testing. The observed signs and symptoms indicated dental infections associated with the teeth, leading to focused consideration of pulp and periapical diagnoses without exploring alternative possibilities. As a result, all patients received diagnoses ranging from pulp necrosis to previously performed endodontic treatment with symptomatic and asymptomatic apical periodontitis. The chosen treatment for all cases involved nonsurgical root canal therapy, including initial root canal treatment and root canal retreatment.
Before consenting, patients were thoroughly informed about the treatment’s benefits and drawbacks, comparing them to alternative options. Once informed consent was obtained, covering both the treatment and the publication of clinical cases in journals, the treatments were conducted. All cases were not treated under magnification. The teeth were anesthetized with 2% lidocaine containing 1:80,000 epinephrine, and all procedures were conducted under absolute isolation and surgical field disinfection. Nonselective caries removal involved the following steps: caries were excavated using a sterile round diamond bur, starting from the outermost area and progressing inward. Once all carious lesions were eliminated, a new bur was employed to access the pulp chamber. This procedure was carried out using a high-speed handpiece with cooling. Upon reaching the pulp chamber, an opening was created using a sterile tapered diamond bur. The clinical diagnosis of pulp necrosis was confirmed by observing the presence or absence of bleeding from the pulp chamber, while the diagnosis of previously performed endodontic treatment was confirmed by identifying the presence of obturation material.
Treatment protocol for teeth with pulp necrosis (Figures 1–5)
This image shows tooth 37 diagnosed with pulp necrosis with a chronic periapical abscess. (A) Diagnostic X-ray. (B) Immediate after obturation. (C) Tomographic control where complete healing is evident after 45 months.
This image shows tooth 11 diagnosed with pulp necrosis with an asymptomatic apical periodontitis. (A) Diagnostic X-ray. (B) Immediate after obturation. (C) X-ray control. (D) Tomographic control where complete healing is evident after 65 months.
This image shows tooth 27 diagnosed with pulp necrosis and asymptomatic apical periodontitis. (A) Diagnostic X-ray. (B) Immediate after obturation. (C) Tomographic control where an apical image in the process of healing is observed after 24 months.
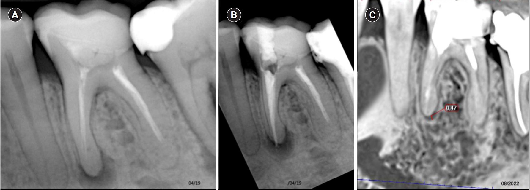
Tooth 36 with a diagnosis of Pulp necrosis with acute periapical abscess. (A) Diagnostic X-ray. (B) Immediate after obturation. (C) Tomographic control after 24 months. showing the apical lesion in the same manner as in the initial X-ray, considered a failure.
Tooth 36 with a diagnosis of pulp necrosis with symptomatic apical periodontitis. (A) Diagnostic X-ray. (B) Immediate after obturation. (C) Radiographic control. (D) Tomographic control after 35 months, showing the apical lesion in the same manner as in the initial X-ray, considered a failure.
Following the creation of the access opening, the pulp chamber was flushed with saline solution, and the mechanical preparation of the cervical third of the root canal was carried out to neutralize the infected content using the Silver Reciproc motor (VDW GmbH, Munich, Germany). The rotary file system utilized was Mtwo (VDW GmbH). Electronic canal length measurement was conducted with the Apex NRG locator (Medic NRG Ltd, Tel Aviv, Israel). The root canals were filled with saline solution, and a size of 15 K file, connected to the electronic apex locator, was introduced until it displayed a reading of 1 on the equipment’s display. The rubber stop was positioned at the corresponding cusp, a periapical radiograph was taken to confirm the measurement, and this measurement was recorded. These procedures were applied to both single-rooted and multi-rooted teeth.
The apical third was prepared using the sequence recommended by the manufacturer. Abundant irrigation with 3 mL of saline solution was performed between each file. The final preparation was standardized for all teeth and root canals in size 25 and taper 0.06. After completing the root preparation, 17% EDTA (Maquira Ltda, Maringá, Brazil) was applied for 3 minutes. It was introduced into the root canal using a syringe and needle, a procedure repeated for all cases. Subsequently, decontamination irrigation with saline solution was performed using Fotona XD-2 (Fotona, Ljubljana, Slovenia), a high-power 810-nm diode laser set at 1 W of power in continuous wave mode. A 200-μm diameter optical fiber was utilized. Once ready, the actual disinfection was conducted by inserting the optical fiber to 1 mm short of the working length. Once in position, irradiation commenced with the established parameters. The optical fiber moved in and out at a speed of 2 m/sec with a helical motion in a counterclockwise direction. There were four cycles of 20 seconds each, with 3 mL of saline solution irrigation between each cycle, and a 15-second rest period at the end of each cycle. After this, the root canal was dried with sterile paper points, and the presence of purulent exudate was evaluated (some teeth could be obturated in one appointment, while others required two or more appointments). In the absence of purulent exudate, obturation was performed using gutta-percha cones and a zinc oxide and eugenol-based sealer called Grossdent (Laboratorios Farmadenta SA, Lima, Perú) with the single-cone technique. Restoration was then done immediately for some cases using direct light-cured composite resins, while others required posts and crowns (Tables 2 and 3).
Treatment of teeth with previously initiated endodontic therapy (Figures 6 and 7)
Tooth 16 with a diagnosis of previously initiated endodontic treatment and acute periapical abscess. (A) Diagnostic X-ray. (B) Immediate after obturation. (C) Tomographic control after 30 months, showing the apical lesion in the same manner as in the initial X-ray, considered a failure.
Tooth 36 with a diagnosis of previously treated with symptomatic apical periodontitis. (A) Diagnostic X-ray. (B) Immediate after obturation. (C) Tomographic control after 40 months, showing the apical lesion in the same manner as in the initial X-ray, considered a failure.
All procedures, encompassing anesthesia, isolation, biomechanical preparation, smear layer removal, decontamination, obturation, and restoration, were executed in a manner consistent with the approach employed for the group of teeth with necrosis. Conversely, root canal filling removal was carried out using K-files (Dentsply Maillefer, Ballaigues, Switzerland) and orange oil (Maquira Dental Group, Maringá, PR, Brazil). The canals were gradually enlarged with manual files until a K-file size of 20 achieved canal patency. Subsequently, the preparation was reiterated using rotary Mtwo files until size 25 and taper 0.06, all teeth were standardized with this size. Following this step, all subsequent procedures were conducted identically to those outlined earlier for the previous group.
For both teeth diagnosed with necrosis and those previously treated, immediate post-obturation controls were conducted using periapical radiographs. Long-term follow-up assessments were performed through cone-beam computed tomography (CBCT) scans, with patients being monitored over a span of 2 to 7 years. All CBCT scans were acquired using a Promax 3D CBCT scanner (Planmeca, Helsinki, Finland) with the following parameters: image size of 8 × 8 cm, voxel size of 15 µm, 84 kV, 14 mA, 15 seconds of exposure time, and 0.30 mm resolution. The analysis of images was carried out using Planmeca Romexis Viewer software (Planmeca) with the CBCTPAI, as proposed by Estrela et al. [22]. The tomographic images were evaluated in three planes (sagittal, coronal, and horizontal) to identify the presence or absence of apical lesions. When lesions were identified, they were measured and classified according to the CBCTPAI (Table 4). The data collected were tabulated for better comprehension (Tables 2 and 3).
Strict and loose criteria were used to classify the success of root canal treatment. The strict criteria were associated with a tomographic reduction in lesion size, evidence of normal periodontal space, and follow-up controls where the CBCTPAI score was ‘0.’ The loose criteria were associated with scores showing a reduction in apical lesion size (loose criteria) when compared to the initial diagnostic radiograph.
RESULTS
Findings from follow-up checks (Tables 2 and 3)
All the treated teeth exhibited no reported clinical pain or discomfort by the patients, and percussion and palpation tests yielded negative findings. Additionally, no alterations in the gum tissue or signs of swelling were observed during the clinical evaluations.
All patients were evaluated with a single follow-up CBCT scan during evaluation periods ranging from 2 to 7 years, aiming to avoid excessive tomographic radiation exposure. The tomographic evaluations were conducted by assessing the three planes: sagittal, axial, and coronal. This approach provided a three-dimensional evaluation with follow-up controls [23].
Considering strict criteria, out of 31 cases (100%), in 35.5% [11] of the cases, there was topographic repair compatible with success, while in 64.5% [20], the apical lesions did not reduce sufficiently to be considered a total success according to the CBCTPAI by Estrela et al. [22]. Segmenting the data by the type of treatment revealed that initial treatments had a clinical and tomographic success rate of 60% [9] and a failure rate of 40.0%, while retreatments achieved a 12.5% success rate [2]. Direct restorations had a success rate of 50.0% [4] compared to those restored with crowns at 30.4% [7]. There was a higher clinical and tomographic success rate in anterior teeth, including incisors (60.0%) and canines (100%), compared to posterior teeth, including premolars (11.1%) and molars (33.3%). Controls conducted over a period of more than 3 years (45.0%) exhibited greater success compared to those with shorter follow-up periods (18.2%) (Figures 2 and 3).
Using loose criteria, out of 31 cases, the majority of cases showed a reduction in the size of apical lesions. In total, 18 cases (58.1%) were considered successful, considering cases with tomographic repair and those in the process of repair. Males had a higher success rate at 72.7% compared to females at 55.0%. When considering the type of treatment, teeth that received initial treatment achieved an 80.0% success rate, while retreatments reached a 37.5% success rate. Direct restorations had a success rate of 75.0% when compared to restorations with crowns at 52.2%.
The data analysis revealed that suboptimal obturations demonstrated an 80% success rate, while ideal obturations had a 59.1% success rate. Additionally, cases with follow-up controls conducted in less than 3 years achieved an 81.81% success rate, in contrast to those with longer follow-up periods, which showed a success rate of 45.0%.
DISCUSSION
The persistence of apical periodontitis arises from the presence of intra- or extraradicular infections and their byproducts, sustaining a persistent inflammatory process. Consequently, complete healing of periapical lesions is often challenging, leading to the categorization of root canal treatment as a failure [24]. Despite advancements in technology enabling effective root canal disinfection, the degree of success varies based on clinical and microbiological diagnoses [25]. Challenges arise particularly in cases of pulp necrosis and symptomatic or asymptomatic apical periodontitis, where achieving cleaning levels compatible with clinical and tomographic success is a significant hurdle. Studies indicate that larger apical lesions are associated with a greater diversity of bacterial species and a higher failure rate [26]. Moreover, current challenges extend to secondary or persistent infections, as their bacterial microbiota tends to exhibit higher resistance compared to primary infections. Research has demonstrated that the microbiota of teeth with previously conducted root canal treatments and subsequent failures contains a higher prevalence of resistant gram-positive bacteria, such as E. faecalis [27].
Current irrigation procedures involving NaOCl or chlorhexidine, combined with chelating agents like EDTA, have significantly improved the cleaning and disinfection of infected teeth [24]. These procedures have been further optimized by incorporating additional devices to enhance their effectiveness, such as ultrasonic tips, irrigant agitators, and, more recently, lasers [6,28–31]. Although lasers have been utilized in endodontics for many years, a new type of laser has gained notable interest among clinicians due to its cost-effectiveness and versatility. These lasers are referred to as high-power diode lasers, capable of performing various clinical procedures, from surgical cutting to the disinfection of periodontal pockets and root canals [21,32].
The application of high-power diode lasers in root canal disinfection is currently under investigation through in vitro studies, where different wavelengths and power settings have demonstrated disinfectant effects [33,34]. Some in vivo studies have also assessed disinfection capabilities, with particularly promising results, especially for the high-power 810-nm diode laser [35]. The impact of the high-power 810-nm diode laser on disinfection in saline solution is a topic of debate in some studies, with findings ranging from no significant effect to a very low effect. However, other research indicates a maximum effect. According to certain authors, the laser’s impact is attributed to three potential mechanisms: direct heat absorption by the bacterium, heating through absorption of the substrate surrounding the bacterium, and a photodamage effect [16].
Certain research evaluates diode lasers as adjuncts to current root canal disinfection methods, producing varied results [19,36]. Other studies explore diode lasers as monotherapy treatments, where primary disinfection is exclusively accomplished with the diode laser, eliminating the use of NaOCl or chlorhexidine [10]. In this presented series of 31 clinical cases, a high-power 810-nm diode laser was utilized with a consistent disinfection protocol for all cases. The programming involved 1 W in continuous mode with four cycles of 20 seconds and a 15-second thermal relaxation period between each cycle. Notably, this protocol replaced the use of NaOCl. All cases were diagnosed as necrosis or previously treated with radiographically evident apical lesions. The laser disinfection protocol deviates from the standard NaOCl disinfection protocol, as irrigation during instrumentation is conducted using saline solution throughout the procedure. Following root canal instrumentation, 17% EDTA was applied, followed by the laser disinfection protocol as previously described. Teeth without purulent exudate were obturated in a single appointment, while those requiring multiple appointments were left with saline solution in the canal and sealed with polycarboxylate until the next session, where disinfection and corresponding obturation procedures were reiterated. Similar procedures were carried out for cases with previously treated endodontics, involving the removal of previous obturations using orange oil. The overall results demonstrated success rates, based on both strict and less strict criteria, at 35.48% and 58.06%, respectively.
When specifically analyzing the type of diagnosis, it was observed that for primary treatments with a diagnosis of necrosis, the success rate was 60% and 80% according to strict and loose criteria, respectively, all with follow-up controls using cone-beam tomography. In the overall results, the success rates appeared lower due to the cases of retreatments, where success was notably low. However, in primary treatment cases, the results were quite comparable to other studies where they used NaOCl. For instance, Friedman et al. [37] reported a success rate of 74% in necrotic teeth with radiolucent images in the apical region, though follow-up assessments were conducted using radiographs. In another study by Karaoğlan et al. [38] a success rate of 71.8% with complete healing and 84.6% with healing in progress was reported, also with radiographic evaluation. Sjogren et al. [39] found success rates of 83% for lesions larger than 5 mm with an evaluation period of 8 to 10 years. For teeth with previously performed treatments and apical lesions less than 5 mm, the success rate was 65%, and for lesions larger than 5 mm, it was 38% (all with radiographic evaluation) [39]. In another study by Gorni and Gagliani [40], with a 2-year follow-up using radiographic assessment, a success rate of 84.4% for complete healing and 86% for healing in progress was reported in teeth with apical lesions. Ricucci et al. [41], in a study of 1,369 teeth with a 5-year evaluation, found success rates ranging from 78.2% to 86.8% for teeth with apical lesions. Similarly, Ng et al. [42], in a study on the success of primary root canal treatment, found success rates ranging from 31% to 96% based on strict criteria and between 60% and 100% based on loose criteria.
In our results, endodontic retreatments exhibited a success rate of 37.5% based on less strict criteria, closely resembling the findings of Ng et al. [43] who reported a success rate of 41.7% for teeth retreated with lesions larger than 5 mm. However, some other research on retreatment success rates has reported higher levels of success than what we found [44,45]. The disparity in our results could potentially be attributed to the lack of removal of the sealing material, which prevents the bactericidal effect of the laser on dentin. Additionally, the influence of the absence of intracanal medication and the use of an irrigant with bactericidal properties may have contributed to a greater reduction in microbial load and, consequently, increased success in retreatments. The influence of chemical agents has demonstrated significant assistance in resolving apical periodontitis [6,7,46].
Nowadays, magnification plays an important role in root canal treatment. With magnification, it is possible to see and locate canals that would not be visible to the naked eye, and it also allows for better visualization of materials like gutta-percha for removal when they remain inside the canal. Our clinical research did not use magnification, which could have been a valuable aid in the treatment of teeth with previous root canal therapy and possibly in primary infections as well [47].
Post-endodontic pain was assessed in all patients, and none of them experienced pain after root canal treatment. The effect of laser therapy has been shown to be a promising alternative for reducing and controlling pain in endodontic therapy. Our results are consistent with findings in several articles by Nunes et al. [48], Abbara et al. [49], and Ismail et al. [50] (Tables 2 and 3).
Utilizing tomography for evaluations offers the advantage of enhanced visualization of apical lesions, even when they are very small and might not be detectable in traditional radiographic images. A study by Aminoshariae et al. [51] demonstrated that CBCT images were twice as likely to detect a periapical lesion compared to traditional periapical radiography in endodontic success studies. This highlights that our successful results, while somewhat lower compared to other research, could be attributed to the evaluation method used, which provides greater reliability in detecting the presence or absence of apical lesions. This is in contrast to radiographic techniques used in other studies, where an apical lesion may have been described as completely healed when it was not. The CBCTPAI was used because it presents advantages for clinical applications. Additionally, CBCTPAI scores are calculated by analyzing the lesion in three dimensions, obtaining computed tomography slices in the mesiodistal, buccopalatal, and diagonal directions. This shows superiority over conventional radiographic analysis, which only evaluates in two planes. CBCTPAI was the method of choice in our research because, although we have other methods to evaluate, such as the CBCT ERI (endodontic radiolucency index) method or the CBCT COPI (complex periapical index) method, one of the limitations we had was the use of large-field tomographies, which reduced image resolution. Therefore, using another more accurate method like CBCT ERI, which works with smaller volumes and high resolution to analyze images smaller than 0.5 mm, was not necessary in our case because our tomographies were not small fields [52].
The lower success in cases requiring retreatment may be attributed to the limited apical preparation, which was 25.06. This could have resulted in obturation material remaining inside the root canal, impeding the penetration of laser energy into the dentin and allowing bacterial viability in the root canal. Limited apical preparation can contribute to bacterial persistence, as demonstrated in a study by Rodrigues et al. [53] which found that a larger apical preparation size improved the disinfection effect in the root canal. Despite the final apical preparation size being 25.06 in primary treatments, the disinfection effect of the high-power diode laser helped achieve success rates comparable to the studies mentioned earlier.
Intracanal medication is a crucial step in the root canal disinfection process. Multiple research investigations have identified various benefits of using calcium hydroxide as the preferred medication, mainly due to its strong alkalinity, capacity to dissolve tissues, capability to neutralize endotoxins, and antibacterial properties, calcium hydroxide, also known as Ca(OH)2, is extensively employed as an intracanal medicament, a published review has identified prognostic factors related to lower healing rates or tooth loss, including the presence of apical periodontitis, lesion size, and preoperative sinus tract [54]. In our cases, all presented periapical lesions, but the majority were treated in a single appointment. Even in cases requiring two or more sessions, intracanal medication was not utilized. While intracanal medication is considered an essential part of endodontic treatment, its usage appears to be decreasing [54]. Other studies have indicated that the completion of endodontic treatment in one or two appointments does not result in a significant difference in clinical and radiographic success rates [38]. In our cases, the high-power diode laser served as the sole means of disinfection for both primary treatments and retreatments, whether completed in one appointment or multiple appointments. Our results show that laser can help to restore health in the patient without the need for calcium hydroxide, with outcomes comparable to those shown in studies where, with large apical lesions, success rates reached 86.6% for small lesions, 78.2% for large lesions, and 54.5% for extremely large lesions [41,55]. The benefits of intracanal medication in the described cases, both in teeth undergoing initial treatment and retreatment, could have improved success rates. However, more randomized clinical studies are necessary to assess the combination of intracanal medication and laser therapy, which could help increase success rates, particularly in cases of teeth with large apical lesions where the prognosis is affected by the number of microorganisms present, as described in other studies. Additionally, evaluating the increase or decrease in symptoms during the period of intracanal medication could help in planning other possible treatments [26]. This approach was designed to assess the laser’s potential as a disinfectant, aligning with other research where the use of the laser alone was adequate to achieve a high level of disinfection success, in in vivo studies [19].
This case series demonstrates a moderate potential of high-power 810-nm diode lasers with saline solution in the process of root canal disinfection, achieving clinical and tomographic success rates ranging from 60% to 80%, depending on the criteria used. These cases primarily involved primary treatments with diagnoses of pulp necrosis and large apical lesions, with the majority completed in a single session. While the use of disinfection monotherapy can be a subject of discussion and debate, it paves the way for potential application in other procedures where NaOCl disinfection may be limited, such as in cases of immature apices or pulp regeneration. Randomized clinical studies with tomographic controls may help in the future to assess how safe and effective monotherapy procedures for disinfection can be. The limitations of the investigation were related to the inability to obtain previous control tomographies, which could have provided better visualization of each case for comparing pre- and posttreatment sizes. Some benefits that this research shows are that through evidence from clinical cases, it was found that the high-power 810-nm diode laser has the capability of disinfection and achieving success levels comparable to the well-known NaOCl, as demonstrated in comparisons with previously cited literature.
Future studies using a larger apical preparation size could have been considered for improved results. Additionally, having a larger sample of patients would be important to validate the findings, providing more weight to the clinical case report.
CONCLUSIONS
The teeth with apical lesions that underwent primary treatment did not present clinical symptoms, but they showed a moderate success rate on tomographic evaluation. However, teeth with apical lesions that required retreatment, despite lacking clinical symptoms, had a very low success rate on tomographic evaluation.
Notes
CONFLICT OF INTEREST
No potential conflict of interest relevant to this article was reported.
FUNDING/SUPPORT
None.
ACKNOWLEDGMENTS
Acknowledgments to the Endodontics Department at the School of Dentistry of Bauru, University of São Paulo, for their support in conducting the research.
AUTHOR CONTRIBUTIONS
Conceptualization, Investigation: all authors; Formal analysis, Methodology: Teves-Cordova AVI, Alcalde MP, Pedraza FH, Duarte MAH; Writing–Original Draft: Teves-Cordova AVI, Alcalde MP, Pedraza FH, Duarte MAH; Writing–Review & Editing: Teves-Cordova AVI, Alcalde MP, Duarte MAH. All authors read and approved the final manuscript.
DATA SHARING STATEMENT
The datasets are not publicly available but are available from the corresponding author upon reasonable request.
